Les Lundi, Mardi et Jeudi de 9h à 13h et de 14h à 18h
Le Mercredi de 8h à 13h et de 14h à 18h
Le Vendredi de 9h à 16h30
Bridge collé
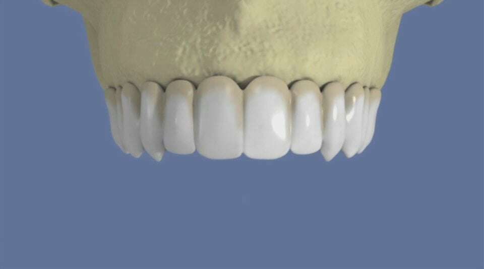
Maxillaire all-on-6 et comblement de sinus
CABINET 2 AULAGNE
2 RUE LOUIS AULAGNE 69600 Oullins
04 78 52 84 02
04 78 51 79 12
©2026 CABINET 2 AULAGNE
Création par
Connexion
Vidéo en cours de lecture